弱酸性次亜塩素酸の空間噴霧、ラットによる90日間の長期曝露で安全性を確認 ー 秋田大・大阪公大らの共同研究、大腸菌への高い除菌効果と物理学的検証も同時に実証
[26/02/16]
提供元:PRTIMES
提供元:PRTIMES
- 秋田大学・大阪公立大学・株式会社Local Powerによる共同研究 -
[画像1: https://prcdn.freetls.fastly.net/release_image/85899/11/85899-11-1b59863e28c6174cd47d424dfcad1322-955x91.png?width=536&quality=85%2C75&format=jpeg&auto=webp&fit=bounds&bg-color=fff ]
国立大学法人秋田大学、大阪公立大学、および株式会社Local Power(秋田県)の研究グループは、弱酸性次亜塩素酸を用いた空間噴霧について、モデル微生物である大腸菌への殺菌効果と、ラットを用いた長期吸入における生体への安全性を検証しました。その結果、噴霧による殺菌効果が確認されるとともに、高濃度条件下(250ppm)での90日間の長期曝露試験において、生体への有害な影響が認められないことを明らかにしました。
本研究成果は、2026年1月31日に米国の科学誌「PLOS One」に掲載されました。
1. 研究の背景
人が活動する空間において、飛沫やエアロゾルを介した病原体の伝播リスクを低減することは、公衆衛生上の重要な課題です。しかし、アルコールや次亜塩素酸ナトリウムなどの従来の消毒剤は、吸入時の毒性や刺激性の懸念から有人空間での噴霧には適していません。そのため、高い殺菌力を持ちながら、人や動物に対して安全な新しい空間衛生管理手法の確立が求められていました。弱酸性次亜塩素酸は、有機物に触れると速やかに失活する特性を持つため、有力な候補とされてきましたが、科学的に厳密な条件下での長期安全性評価は十分に行われていませんでした。
2. 研究の体制
本研究は、実際の空間噴霧環境を模したチャンバー内で、物理学的・微生物学的・生理学的な多角検証を行いました。各機関の主な役割は以下の通りです。
国立大学法人秋田大学(未来研究統括機構バイオサイエンス教育・研究サポートセンター動物実験部門):関 信輔 准教授、及川 剛宗 技術専門職員らが中心となり、ラットを用いた長期噴霧曝露試験および組織学的・血液学的安全性評価を実施しました。
国立大学法人秋田大学(大学院理工学研究科):足立 高弘 教授、秋永 加奈 技術専門職員の協力により、レーザー回折式粒度分布測定装置を用いて、噴霧粒子が空間内で適切な微粒子として分布していることを物理学的に検証しました。
大阪公立大学:感染症研究の専門家である山崎 伸二 教授(兼任:大阪国際感染症研究センター 副センター長)が、実験設計および微生物学的考察において助言を行いました。
株式会社Local Power:試験物質(弱酸性次亜塩素酸)の提供および研究協力を行いました(※評価・解析は大学側が主体となり実施)。
3. 主な研究結果
大腸菌に対する殺菌効果:
弱酸性次亜塩素酸を用いた直接接触試験および空間噴霧試験において、モデル微生物である大腸菌(Escherichia coli)に対する顕著な殺菌効果が確認されました(図1)。
[画像2: https://prcdn.freetls.fastly.net/release_image/85899/11/85899-11-831bd5419b0f344b3777493e2326b3a8-1207x699.png?width=536&quality=85%2C75&format=jpeg&auto=webp&fit=bounds&bg-color=fff ]
図1 噴霧による大腸菌への効果
出典:Oikawa et al., PLOS One (2026), licensed under CC BY 4.0
ラット長期曝露試験での安全性:
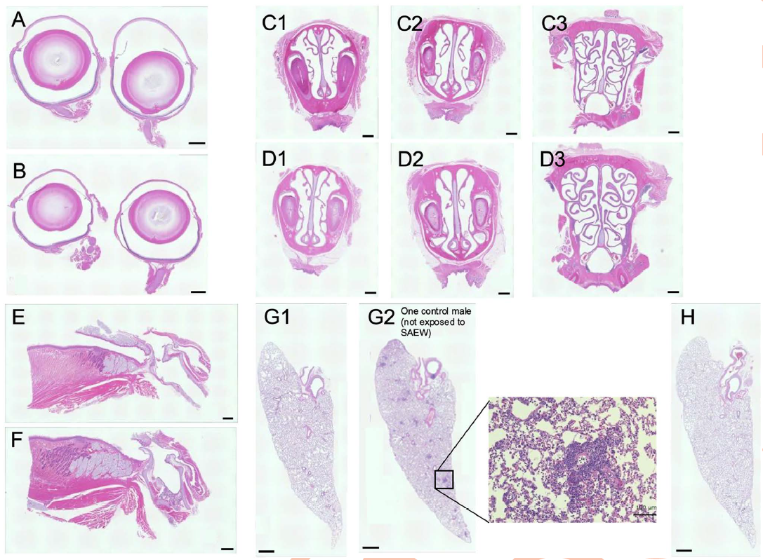
ラットに対し、高濃度(250 ppm)の弱酸性次亜塩素酸を15 mL/hのペースで、1日6時間、週5日、90日間のうち65日間にわたり空間噴霧曝露しました。 その結果、対照群と比較して体重推移、摂餌・摂水量、肝・腎機能等の血液生化学検査値、および肺・鼻腔・眼などの組織学的検査において、有害な影響は一切認められませんでした(図2)
[画像3: https://prcdn.freetls.fastly.net/release_image/85899/11/85899-11-f93732e040f1e483487f8982927f19ef-1087x799.png?width=536&quality=85%2C75&format=jpeg&auto=webp&fit=bounds&bg-color=fff ]
図2「(左から眼、鼻腔、肺の組織像)250ppmという高濃度曝露下でも、炎症や組織の変性は認められなかった」
出典:Oikawa et al., PLOS One (2026), licensed under CC BY 4.0
噴霧条件の厳密な管理:
レーザー回折式粒度分布測定装置および塩素濃度計によるモニタリングを行い、空間内の有効塩素濃度と粒子径が一定に保たれる制御された環境下で試験を実施しました(図3)。
[画像4: https://prcdn.freetls.fastly.net/release_image/85899/11/85899-11-2061b544f6342bd46d8ab916f8b7608a-1123x463.png?width=536&quality=85%2C75&format=jpeg&auto=webp&fit=bounds&bg-color=fff ]
図3 試験環境の模式図
出典:Oikawa et al., PLOS One (2026), licensed under CC BY 4.0
4. 今後の展望と社会的意義
これまで、噴霧利用に関する研究が進みにくかった背景には、「実際に除菌水が空間中に適切な粒径で噴霧されているか」を客観的に評価する手法が乏しかった点が挙げられます。本研究では、共同研究者である国立大学法人秋田大学大学院理工学研究科 足立高弘 教授および 秋永加奈 技術専門職員の協力により、レーザー回折式粒度分布測定装置を用いた解析を実施しました。その結果、弱酸性次亜塩素酸が空間中に微粒子として確実に噴霧されていることを実証しました。
本研究により、適切な濃度管理下における弱酸性次亜塩素酸の空間噴霧が、ラット(モデル動物)に対して高い安全性を示すことが示唆されました。これは、獣医療現場、畜産施設、農業用ハウス、食品加工工場など、病原体制御が求められる様々な産業分野において、人と動物が共存する環境下での新しい衛生管理手法としての応用可能性を広げるものです。
※本研究の一部は、秋田県「コロナ時代のニューノーマルへの対応や新たなビジネスに関するFS事業」(課題名:「新型コロナウイルス感染症拡大防止のためのウイルス不活化除菌水空間噴霧効果の検証」)の支援を受けて実施されました。
5. 研究者コメント
[画像5: https://prcdn.freetls.fastly.net/release_image/85899/11/85899-11-a3d8440c51d480e03ec3e316ce0f2a30-377x401.png?width=536&quality=85%2C75&format=jpeg&auto=webp&fit=bounds&bg-color=fff ]
■山崎 伸二
大阪公立大学
大学院獣医学研究科感染症制御学領域教授
大学院生命環境科学研究科感染症制御学領域教授
大阪国際感染症研究センター 副センター長
アジア健康科学研究所所長
SARS-CoV-2への有効性はすでに論文として報告しています。今回、新たに大腸菌に対する殺菌効果に加え、実験動物における安全性評価の結果が論文として受理されました。今後、病原体への有効性及び哺乳動物に対する安全性がさらに実証されることで、対象物への応用のみならず、動物やヒトへの利用の可能性にも繋がる研究成果として高く評価できます。
[画像6: https://prcdn.freetls.fastly.net/release_image/85899/11/85899-11-ea4db7b31e4657235cec2fcbf7162cc0-412x426.jpg?width=536&quality=85%2C75&format=jpeg&auto=webp&fit=bounds&bg-color=fff ]
■ 関 信輔
国立大学法人秋田大学 未来研究統括機構
バイオサイエンス教育・研究サポートセンター
動物実験部門
准教授
本研究では、イオン交換(特許製法)により生成された弱酸性次亜塩素酸水を空間噴霧した際、新型コロナウイルス(SARS-CoV-2)よりも耐性の高い大腸菌に対しても高い殺菌効果を示す一方で、実験動物に対しては、本実験条件下では毒性を示さないことを科学的に確認しました。
さらに、有効塩素濃度が長期間(1年間)にわたり安定して維持されることも示しており、日常的な衛生管理における高い実用性が示されました。
当部門においても、弱酸性次亜塩素酸水を日常的な清拭作業に使用しており、高い安全性と確かな殺菌効果を併せ持つ衛生資材であると実感しています。
本研究成果が、医療現場や高齢者施設、畜産・食品分野など、感染症対策と安全性の両立が求められる現場における衛生環境の向上に貢献することを期待しています。
本研究成果は、インターネット環境があれば誰でも閲覧可能なオープンアクセス国際誌 PLOS One に掲載されました。科学的妥当性と再現性を重視する国際的な査読を経た成果であり、基礎研究から社会実装への橋渡しとなる重要な知見であると考えています。
【論文情報】
論文タイトル:Effective and safe: Long-term aerosol disinfection of slightly acidic electrolyzed water causes no harm in rats
著者:Oikawa T., Akinaga K., Yanagida M., Yamazaki W., Sato T., Mukoda Y., Terada K., Fujii Y., Higashiya M., Yamasaki S., Adachi T., Seki S.
掲載誌:PLOS One
DOI:https://doi.org/10.1371/journal.pone.0341050
公開日:2026年1月31日(現地時間)
【用語解説】
レーザー回折式粒度分布測定
レーザー回折式粒度分布測定は、微粒子にレーザー光を照射し、粒子サイズに応じて生じる光の回折パターンを解析することで、粒子径および分布を評価する手法です。本研究で用いたフラウンホーファー回折法は、霧やエアロゾルなど空間中に浮遊する粒子の評価に広く用いられています。
________________________________________
【研究実施・関連施設】
国立大学法人秋田大学 未来研究統括機構 バイオサイエンス教育・研究サポートセンター 動物実験部門
関 信輔 准教授
https://www.akita-u.ac.jp/crc/study/pdf/2024/seki_s.pdf
動物実験部門 レンタルスペース・利用案内
https://www.akita-u.ac.jp/crc/study/pdf/13_others.pdf
国立大学法人秋田大学 大学院理工学研究科
足立 高弘 教授
https://www.akita-u.ac.jp/honbu/lab/vol_30.html
大阪公立大学大学院獣医学研究科
山崎 伸二 教授
(兼任:大阪国際感染症研究センター 副センター長)
https://kyoiku-kenkyudb.omu.ac.jp/html/100001630_ja.html
________________________________________
1【参考論文】
Hatanaka N., Yasugi M., Sato T., Mukamoto M., Yamasaki S.
Hypochlorous acid solution is a potent antiviral agent against SARS-CoV-2
Journal of Applied Microbiology. 2022; 132(2): 1496-1502.
doi:10.1111/jam.15284
※1:本研究に用いた弱酸性次亜塩素酸は、次亜塩素酸ナトリウム溶液を原料にイオン交換(特許製法)により生成される次亜塩素酸を主成分とした溶液です。医療現場および日常生活における物品の除菌に使用されております。
(特許番号5692657号、弱酸性次亜塩素酸、ならびに製造装置および製造方法)
<注意事項>
本文書に記載されている情報は、株式会社Local Powerの経営情報の開示を目的とするものであり、それぞれは、いかなる製品の宣伝、広告を目的とするものではありません。
お問い合わせ
国立大学法人秋田大学 総務企画部 広報課
TEL:018-889-3019 E-mail:kouhou@jimu.akita-u.ac.jp
大阪公立大学 広報課
TEL:06-6967-1834 E-mail:koho-list@ml.omu.ac.jp
株式会社Local Power 担当:技術知財部 向田(むこうだ)
TEL:0184-74-6988 E-mail:pr@lpower.jp
[画像1: https://prcdn.freetls.fastly.net/release_image/85899/11/85899-11-1b59863e28c6174cd47d424dfcad1322-955x91.png?width=536&quality=85%2C75&format=jpeg&auto=webp&fit=bounds&bg-color=fff ]
国立大学法人秋田大学、大阪公立大学、および株式会社Local Power(秋田県)の研究グループは、弱酸性次亜塩素酸を用いた空間噴霧について、モデル微生物である大腸菌への殺菌効果と、ラットを用いた長期吸入における生体への安全性を検証しました。その結果、噴霧による殺菌効果が確認されるとともに、高濃度条件下(250ppm)での90日間の長期曝露試験において、生体への有害な影響が認められないことを明らかにしました。
本研究成果は、2026年1月31日に米国の科学誌「PLOS One」に掲載されました。
1. 研究の背景
人が活動する空間において、飛沫やエアロゾルを介した病原体の伝播リスクを低減することは、公衆衛生上の重要な課題です。しかし、アルコールや次亜塩素酸ナトリウムなどの従来の消毒剤は、吸入時の毒性や刺激性の懸念から有人空間での噴霧には適していません。そのため、高い殺菌力を持ちながら、人や動物に対して安全な新しい空間衛生管理手法の確立が求められていました。弱酸性次亜塩素酸は、有機物に触れると速やかに失活する特性を持つため、有力な候補とされてきましたが、科学的に厳密な条件下での長期安全性評価は十分に行われていませんでした。
2. 研究の体制
本研究は、実際の空間噴霧環境を模したチャンバー内で、物理学的・微生物学的・生理学的な多角検証を行いました。各機関の主な役割は以下の通りです。
国立大学法人秋田大学(未来研究統括機構バイオサイエンス教育・研究サポートセンター動物実験部門):関 信輔 准教授、及川 剛宗 技術専門職員らが中心となり、ラットを用いた長期噴霧曝露試験および組織学的・血液学的安全性評価を実施しました。
国立大学法人秋田大学(大学院理工学研究科):足立 高弘 教授、秋永 加奈 技術専門職員の協力により、レーザー回折式粒度分布測定装置を用いて、噴霧粒子が空間内で適切な微粒子として分布していることを物理学的に検証しました。
大阪公立大学:感染症研究の専門家である山崎 伸二 教授(兼任:大阪国際感染症研究センター 副センター長)が、実験設計および微生物学的考察において助言を行いました。
株式会社Local Power:試験物質(弱酸性次亜塩素酸)の提供および研究協力を行いました(※評価・解析は大学側が主体となり実施)。
3. 主な研究結果
大腸菌に対する殺菌効果:
弱酸性次亜塩素酸を用いた直接接触試験および空間噴霧試験において、モデル微生物である大腸菌(Escherichia coli)に対する顕著な殺菌効果が確認されました(図1)。
[画像2: https://prcdn.freetls.fastly.net/release_image/85899/11/85899-11-831bd5419b0f344b3777493e2326b3a8-1207x699.png?width=536&quality=85%2C75&format=jpeg&auto=webp&fit=bounds&bg-color=fff ]
図1 噴霧による大腸菌への効果
出典:Oikawa et al., PLOS One (2026), licensed under CC BY 4.0
ラット長期曝露試験での安全性:
ラットに対し、高濃度(250 ppm)の弱酸性次亜塩素酸を15 mL/hのペースで、1日6時間、週5日、90日間のうち65日間にわたり空間噴霧曝露しました。 その結果、対照群と比較して体重推移、摂餌・摂水量、肝・腎機能等の血液生化学検査値、および肺・鼻腔・眼などの組織学的検査において、有害な影響は一切認められませんでした(図2)
[画像3: https://prcdn.freetls.fastly.net/release_image/85899/11/85899-11-f93732e040f1e483487f8982927f19ef-1087x799.png?width=536&quality=85%2C75&format=jpeg&auto=webp&fit=bounds&bg-color=fff ]
図2「(左から眼、鼻腔、肺の組織像)250ppmという高濃度曝露下でも、炎症や組織の変性は認められなかった」
出典:Oikawa et al., PLOS One (2026), licensed under CC BY 4.0
噴霧条件の厳密な管理:
レーザー回折式粒度分布測定装置および塩素濃度計によるモニタリングを行い、空間内の有効塩素濃度と粒子径が一定に保たれる制御された環境下で試験を実施しました(図3)。
[画像4: https://prcdn.freetls.fastly.net/release_image/85899/11/85899-11-2061b544f6342bd46d8ab916f8b7608a-1123x463.png?width=536&quality=85%2C75&format=jpeg&auto=webp&fit=bounds&bg-color=fff ]
図3 試験環境の模式図
出典:Oikawa et al., PLOS One (2026), licensed under CC BY 4.0
4. 今後の展望と社会的意義
これまで、噴霧利用に関する研究が進みにくかった背景には、「実際に除菌水が空間中に適切な粒径で噴霧されているか」を客観的に評価する手法が乏しかった点が挙げられます。本研究では、共同研究者である国立大学法人秋田大学大学院理工学研究科 足立高弘 教授および 秋永加奈 技術専門職員の協力により、レーザー回折式粒度分布測定装置を用いた解析を実施しました。その結果、弱酸性次亜塩素酸が空間中に微粒子として確実に噴霧されていることを実証しました。
本研究により、適切な濃度管理下における弱酸性次亜塩素酸の空間噴霧が、ラット(モデル動物)に対して高い安全性を示すことが示唆されました。これは、獣医療現場、畜産施設、農業用ハウス、食品加工工場など、病原体制御が求められる様々な産業分野において、人と動物が共存する環境下での新しい衛生管理手法としての応用可能性を広げるものです。
※本研究の一部は、秋田県「コロナ時代のニューノーマルへの対応や新たなビジネスに関するFS事業」(課題名:「新型コロナウイルス感染症拡大防止のためのウイルス不活化除菌水空間噴霧効果の検証」)の支援を受けて実施されました。
5. 研究者コメント
[画像5: https://prcdn.freetls.fastly.net/release_image/85899/11/85899-11-a3d8440c51d480e03ec3e316ce0f2a30-377x401.png?width=536&quality=85%2C75&format=jpeg&auto=webp&fit=bounds&bg-color=fff ]
■山崎 伸二
大阪公立大学
大学院獣医学研究科感染症制御学領域教授
大学院生命環境科学研究科感染症制御学領域教授
大阪国際感染症研究センター 副センター長
アジア健康科学研究所所長
SARS-CoV-2への有効性はすでに論文として報告しています。今回、新たに大腸菌に対する殺菌効果に加え、実験動物における安全性評価の結果が論文として受理されました。今後、病原体への有効性及び哺乳動物に対する安全性がさらに実証されることで、対象物への応用のみならず、動物やヒトへの利用の可能性にも繋がる研究成果として高く評価できます。
[画像6: https://prcdn.freetls.fastly.net/release_image/85899/11/85899-11-ea4db7b31e4657235cec2fcbf7162cc0-412x426.jpg?width=536&quality=85%2C75&format=jpeg&auto=webp&fit=bounds&bg-color=fff ]
■ 関 信輔
国立大学法人秋田大学 未来研究統括機構
バイオサイエンス教育・研究サポートセンター
動物実験部門
准教授
本研究では、イオン交換(特許製法)により生成された弱酸性次亜塩素酸水を空間噴霧した際、新型コロナウイルス(SARS-CoV-2)よりも耐性の高い大腸菌に対しても高い殺菌効果を示す一方で、実験動物に対しては、本実験条件下では毒性を示さないことを科学的に確認しました。
さらに、有効塩素濃度が長期間(1年間)にわたり安定して維持されることも示しており、日常的な衛生管理における高い実用性が示されました。
当部門においても、弱酸性次亜塩素酸水を日常的な清拭作業に使用しており、高い安全性と確かな殺菌効果を併せ持つ衛生資材であると実感しています。
本研究成果が、医療現場や高齢者施設、畜産・食品分野など、感染症対策と安全性の両立が求められる現場における衛生環境の向上に貢献することを期待しています。
本研究成果は、インターネット環境があれば誰でも閲覧可能なオープンアクセス国際誌 PLOS One に掲載されました。科学的妥当性と再現性を重視する国際的な査読を経た成果であり、基礎研究から社会実装への橋渡しとなる重要な知見であると考えています。
【論文情報】
論文タイトル:Effective and safe: Long-term aerosol disinfection of slightly acidic electrolyzed water causes no harm in rats
著者:Oikawa T., Akinaga K., Yanagida M., Yamazaki W., Sato T., Mukoda Y., Terada K., Fujii Y., Higashiya M., Yamasaki S., Adachi T., Seki S.
掲載誌:PLOS One
DOI:https://doi.org/10.1371/journal.pone.0341050
公開日:2026年1月31日(現地時間)
【用語解説】
レーザー回折式粒度分布測定
レーザー回折式粒度分布測定は、微粒子にレーザー光を照射し、粒子サイズに応じて生じる光の回折パターンを解析することで、粒子径および分布を評価する手法です。本研究で用いたフラウンホーファー回折法は、霧やエアロゾルなど空間中に浮遊する粒子の評価に広く用いられています。
________________________________________
【研究実施・関連施設】
国立大学法人秋田大学 未来研究統括機構 バイオサイエンス教育・研究サポートセンター 動物実験部門
関 信輔 准教授
https://www.akita-u.ac.jp/crc/study/pdf/2024/seki_s.pdf
動物実験部門 レンタルスペース・利用案内
https://www.akita-u.ac.jp/crc/study/pdf/13_others.pdf
国立大学法人秋田大学 大学院理工学研究科
足立 高弘 教授
https://www.akita-u.ac.jp/honbu/lab/vol_30.html
大阪公立大学大学院獣医学研究科
山崎 伸二 教授
(兼任:大阪国際感染症研究センター 副センター長)
https://kyoiku-kenkyudb.omu.ac.jp/html/100001630_ja.html
________________________________________
1【参考論文】
Hatanaka N., Yasugi M., Sato T., Mukamoto M., Yamasaki S.
Hypochlorous acid solution is a potent antiviral agent against SARS-CoV-2
Journal of Applied Microbiology. 2022; 132(2): 1496-1502.
doi:10.1111/jam.15284
※1:本研究に用いた弱酸性次亜塩素酸は、次亜塩素酸ナトリウム溶液を原料にイオン交換(特許製法)により生成される次亜塩素酸を主成分とした溶液です。医療現場および日常生活における物品の除菌に使用されております。
(特許番号5692657号、弱酸性次亜塩素酸、ならびに製造装置および製造方法)
<注意事項>
本文書に記載されている情報は、株式会社Local Powerの経営情報の開示を目的とするものであり、それぞれは、いかなる製品の宣伝、広告を目的とするものではありません。
お問い合わせ
国立大学法人秋田大学 総務企画部 広報課
TEL:018-889-3019 E-mail:kouhou@jimu.akita-u.ac.jp
大阪公立大学 広報課
TEL:06-6967-1834 E-mail:koho-list@ml.omu.ac.jp
株式会社Local Power 担当:技術知財部 向田(むこうだ)
TEL:0184-74-6988 E-mail:pr@lpower.jp










SEO関連




